Ätiologie, Differentialdiagnostik und aktuelle Therapiestrategien — ein strukturierter Überblick für die klinische Praxis.
Anatomische Grundlagen
Kehlkopfanatomie & ödemprädestinierte Regionen
Differentialdiagnosen im Detail
Pseudokrupp, Epiglottitis, Anaphylaxie, HAE, ACE-Hemmer-AÖ, Reinke-Ödem u.a.
Therapie & Management
Akuttherapie, spezifische Therapie, Atemwegssicherung
Rezente Studien & Take-Home-Messages
Aktuelle Evidenz 2024/2025
Reicht von der unteren Fläche der Epiglottis bis zu den Taschenfalten. Epiglottis, aryepiglottische Falten, Aryknorpelregion. Lockeres Bindegewebe — besonders anfällig für rasche Ödembildung.
Stimmlippen mit Reinke-Raum (Lamina propria superficialis, Verschiebeschicht zwischen Stimmlippenepithel und Muskel). Hier entsteht das Reinke-Ödem.
Unterhalb der Stimmlippen bis Krikoid-Unterrand. Bei Kindern die engste Stelle — daher Pseudokrupp besonders gefährlich.
A. laryngea sup. (A. thyroidea sup.) → supraglottisch
A. laryngea inf. (A. thyroidea inf.) → subglottisch
N. laryngeus sup. → Sensibilität supraglottisch, M. cricothyroideus
N. laryngeus recurrens → alle übrigen Muskeln + subglottische Sensibilität
Jede Ursache einzeln — mit Klinik, Bildgebung und Schlüsselmerkmalen für die rasche Diagnosestellung.
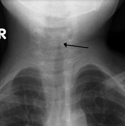
Viral bedingt (Parainfluenzavirus Typ 1–3, seltener RSV, Influenza). Subglottisches Ödem im Bereich des Krikoids — der engsten Stelle des kindlichen Atemwegs.
Alter: 6 Monate – 3 Jahre. Saisonalität: Herbst/Winter. Typische Trias: Bellender Husten + inspiratorischer Stridor + Heiserkeit. Beginn meist nachts. Keine Dysphagie, unauffällige Epiglottis. Symptombeginn allmählich bis 48 Stunden.
Leicht (0–2): Gelegentlich bellender Husten. Moderat (3–7): Stridor in Ruhe, leichte Einziehungen. Schwer (8–11): Deutliche Einziehungen, Agitation. Lebensbedrohlich (≥12): Lethargie, Zyanose.
Leicht: Beruhigung, kühle Luft. Moderat: Dexamethason 0,15–0,6 mg/kg p.o./i.m. Schwer: Vernebeltes Adrenalin 1:1000 (3–5 ml) + Dexamethason 0,6 mg/kg. Cave: Rebound nach Adrenalin!
Pseudokrupp: bellender Husten, Heiserkeit, mäßiges Fieber.
Epiglottitis: kein Husten, kloßige Sprache, Speichelfluss, hohes Fieber, Tripod.
Bakteriell (H. influenzae Typ b — selten seit Hib-Impfung, Streptococcus, Staphylococcus).
Hohes Fieber, starke Odynophagie, kloßige Sprache, Speichelfluss, inspiratorischer Stridor. Kinder sitzen im Bett aufrecht. Symptome entwickeln sich innerhalb von 2–6 Stunden.
Plötzlicher Atemstillstand durch zähen Schleimpfropf in engen supraglottischen Luftwegen oder Laryngospasmus durch Untersuchung mit Mundspatel. Laryngoskopische Untersuchung nur bei Intubations- und Reanimationsbereitschaft! Laterales Röntgen: Sensitivität 88–100%.
Atemwegssicherung FIRST! Intubationsbereitschaft! i.v. Antibiose mit Amoxicillin/Clavulansäure + Dexamethason i.v. Intensivmonitoring.
Bei Verdacht auf Epiglottitis: Keine unnötigen Untersuchungen — zuerst den Atemweg sichern, dann diagnostizieren.
— StatPearls, Epiglottitis (NCBI NBK430960)
IgE-vermittelte Mastzell-Degranulation → Histamin → Vasodilatation + Kapillarpermeabilität ↑ → Ödem. Auslöser: Nahrungsmittel, Medikamente, Insektenstiche, Latex.
Urtikaria/Flush (>80%), Angioödem, Bronchospasmus, Hypotension. Larynxödem: Heiserkeit → Stridor → Aphonie → Asphyxie.
1. Adrenalin i.m. 0,3–0,5 mg in den lateralen Oberschenkel — FIRST LINE!
2. Vernebeltes Adrenalin 1 mg in 5 ml NaCl bei Larynxödem
3. Steroide: Methylprednisolon 1–2 mg/kg i.v. (Wirkung erst nach 1–4h)
4. Antihistaminika: Zweitlinie
C1-INH-Mangel → unkontrollierte Kallikrein-Aktivität → Bradykinin ↑ → vaskuläre Permeabilität ↑. Typ I (85%): quantitativ. Typ II (15%): qualitativ.
Rezidivierende Angioödeme ohne Urtikaria, ohne Juckreiz! Larynxbeteiligung ~50%. Attacken 2–5 Tage. Positive FA in ~75%.
Screening: C4 (erniedrigt in >95%!)
Bestätigung: C1-INH quantitativ + funktionell
DD erworbener C1-INH-Mangel: C1q bestimmen
Konventionelle Allergietherapie (Antihistaminika, Steroide, Adrenalin) ist unwirksam.
Akuttherapie:
Icatibant (Firazyr) 30 mg s.c.
C1-INH-Konzentrat (Berinert) 20 IE/kg i.v.
Langzeitprophylaxe:
Lanadelumab (Takhzyro) 300 mg s.c. alle 2 Wo.
Berotralstat (Orladeyo) oral 1x/Tag
Die Unterscheidung zwischen Histamin- und Bradykinin-vermitteltem Angioödem bestimmt die gesamte Therapiestrategie.
— Frontiers in Immunology, 2025
ACE-Hemmer hemmen Bradykinin-Abbau → Akkumulation → Angioödem. Inzidenz 0,1–0,7%. Kann nach Jahren erstmals auftreten!
Angioödem ohne Urtikaria. Lippen, Zunge, Mundboden, Larynx. Kein Ansprechen auf Adrenalin/Antihistaminika/Steroide!
TXA: 92% partielle Symptomresolution, 48% komplett. Gut toleriert als Bridging.
~50% der Patienten mit definitiver Atemwegssicherung benötigen Koniotomie/Tracheotomie.
1. ACE-Hemmer SOFORT absetzen
2. NPL zur Beurteilung
3. Bei Larynxödem → ICU
4. Icatibant off-label / C1-INH / TXA
5. Chirurgischer Atemweg bereithalten
Chronisches Ödem der Lamina propria superficialis. Laryngoskopisch: ballonförmige glasige Schwellung. Hauptrisikofaktor: Tabakkonsum. 80% Frauen. Therapie: Rauchstopp + mikrolaryngoskopische Abtragung.
Risikofaktoren: weiblich, großer Tubus, >36h intubiert. Cuff-Leak-Test zur Risikostratifizierung. Prophylaxe: Methylprednisolon 40 mg i.v. ≥4h vor Extubation.
DD bei Beschwerdepersistenz >4 Wochen! Chronisches einseitiges Ödem, progressive Heiserkeit. Laryngoskopie + Biopsie obligat.
Nach Radiochemotherapie: bei 54% beobachtet, 7% benötigen Tracheotomie.
Thermisch/chemisch → frühzeitige Intubation. Weitere: Hypothyreose, Sarkoidose, Amyloidose, Mukormykose.
| Entität | Pathomechanismus | Leitsymptome | Urtikaria? | Adrenalin | Spezifische Therapie |
|---|---|---|---|---|---|
| Anaphylaxie | IgE → Histamin | Urtikaria, Bronchospasmus, RR↓ | Ja | Gut ✓ | Adrenalin i.m. |
| ACE-Hemmer-AÖ | Bradykinin ↑ | Isoliertes AÖ, Zunge/Lippen | Nein | Schlecht ✗ | Icatibant, TXA, C1-INH |
| HAE | C1-INH↓ → Bradykinin ↑ | Rezidivierend, pos. FA | Nein | Schlecht ✗ | Icatibant, C1-INH, Lanadelumab |
| Epiglottitis | Bakteriell | Odynophagie, Fieber, Speichelfluss | — | — | AB i.v. + Atemweg |
| Pseudokrupp | Viral (subglottisch) | Bellender Husten, Kinder | — | Inhalativ ✓ | Dexamethason + Adrenalin |
| Postintubation | Mechanisch | Stridor post extubationem | — | Inhalativ ✓ | Steroide + Adrenalin inh. |
1. Adrenalin i.m. 0,3–0,5 mg
2. Adrenalin vernebelt
3. Steroide i.v.
4. Antihistaminika
5. Volumengabe
1. Icatibant 30 mg s.c.
2. C1-INH 20 IE/kg i.v.
3. TXA als Bridging
4. ACE-Hemmer absetzen!
5. Koniotomie bereithalten
1. ATEMWEG zuerst!
2. Ceftriaxon 2g i.v.
3. Dexamethason i.v.
4. Fiberoptische Intubation
5. ICU-Monitoring
Erfolgreiche Akuttherapie mit Icatibant s.c. + Lanadelumab-Prophylaxe.
Am J Emerg Med 2025; doi:10.1016/j.ajem.2025.02.029
Multizentrisch (DE, FR, GR, AT). 15,7% Larynxattacken. Signifikante Reduktion unter Lanadelumab.
JACI In Practice 2024; doi:10.1016/j.jaip.2024.11.033
Review zu emerging therapies und diagnostischen Herausforderungen bei Angioödem.
Front Immunol 2025; doi:10.3389/fimmu.2025.1681763
Adrenalin i.m. bleibt First-Line. Vernebeltes Adrenalin explizit für Larynxödem empfohlen.
J Allergy Clin Immunol 2025; doi:10.1016/j.jaci.2025.01.009
Larynxödem = potenziell lebensbedrohlich. Erst Atemweg sichern, dann diagnostizieren.
Histamin vs. Bradykinin — Urtikaria? → Adrenalin. Keine Urtikaria → C4/C1-INH + ACE-Hemmer-Anamnese!
Pseudokrupp: Dexamethason p.o. einmalig. Epiglottitis: Atemweg first, dann Antibiotika.
HAE: Icatibant / C1-INH akut, Lanadelumab prophylaktisch. Steroide und Antihistaminika unwirksam!
Heiserkeit >4 Wochen → immer Laryngoskopie! Malignomausschluss obligat.
Danke für die Aufmerksamkeit.
Quellen zum Nachlesen:
StatPearls – Epiglottitis / Reinke Edema / Post-Intubation Laryngeal Edema
EAACI/WAO Anaphylaxie-Leitlinien (2021/2024)
Orphanet – Hereditäres Angioödem (ORPHA:91378)
Frontiers Immunol 2025 – Unraveling Angioedema
AWMF S3-Leitlinie Larynxkarzinom (061-028)